
Glaucoma: Symptoms, Causes & Treatment in Orange CountyExpert Eye Care from Orange County's Leading Specialists
Expert information about glaucoma from Orange County's leading eye care specialists. Learn about symptoms, causes, diagnosis, and the latest treatment options.

Glaucoma: Symptoms, Causes & Treatment in Orange CountyExpert Eye Care from Orange County's Leading Specialists
Expert information about glaucoma from Orange County's leading eye care specialists. Learn about symptoms, causes, diagnosis, and the latest treatment options.
Glaucoma — At a Glance
Severity & Type
When to See a Doctor
Schedule a comprehensive eye exam if you experience persistent symptoms.
Key Symptoms
- Gradual loss of peripheral vision
- Tunnel vision
- Eye pain
- Halos around lights
Treatment Options
- Prescription Eye Drops
- Laser Trabeculoplasty
- Surgical Options
- Regular Monitoring
What is Glaucoma?
Glaucoma is a group of eye conditions that damage the optic nerve, often due to abnormally high pressure in your eye. Early detection and treatment are crucial to prevent vision loss.
At EyeCare Center of Orange County, we specialize in the diagnosis and treatment of glaucoma. Our experienced optometrists use state-of-the-art technology to provide comprehensive care and help preserve your vision.
Common Symptoms of Glaucoma
If you're experiencing any of these symptoms, schedule a comprehensive eye examination:
Treatment Options for Glaucoma
We offer comprehensive treatment options tailored to your specific needs:
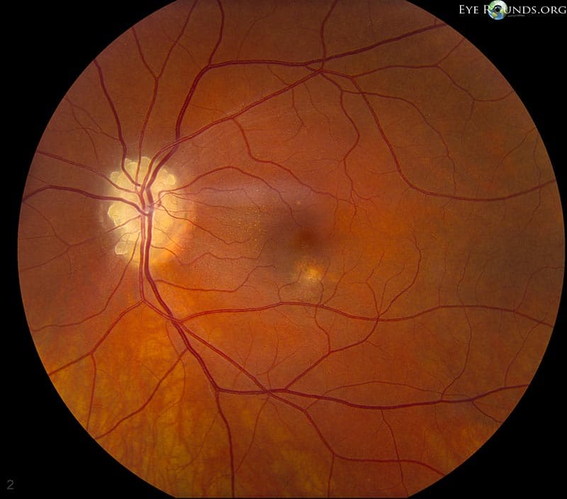
Clinical Images
High-resolution clinical photographs showing various presentations of glaucoma.
Why Choose EyeCare Center of Orange County?
Over 30 Years of Experience
Dr. Alexander Bonakdar has been serving Orange County since 1991 with specialized expertise in vision threat.
Advanced Diagnostic Technology
We utilize the latest equipment for accurate diagnosis and effective treatment of glaucoma.
Personalized Treatment Plans
Every patient receives customized care based on their unique needs and condition severity.
Comprehensive Eye Care
From diagnosis to treatment and follow-up care, we provide complete support throughout your treatment journey.
Frequently Asked Questions
Can glaucoma be cured?
Glaucoma cannot be cured, but it can be controlled. Early detection and treatment can prevent further vision loss and preserve your remaining sight.
How often should I be screened for glaucoma?
Adults over 40 should have a comprehensive eye exam every 2-4 years. Those over 60 or with risk factors should be screened annually.
Does glaucoma run in families?
Yes, glaucoma has a strong genetic component. If you have a family history of glaucoma, your risk is 4-9 times higher than average.
Does insurance cover Glaucoma treatment?
Most vision and medical insurance plans cover diagnostic exams and medically necessary treatments. We accept most major insurance plans and can help verify your coverage before treatment.
Schedule Your Consultation
Get expert diagnosis and treatment for glaucoma.
Related Conditions
Find Glaucoma Treatment Near You
Don't Let Glaucoma Impact Your Vision
Schedule your comprehensive eye examination today and get expert diagnosis and treatment.