
Epiretinal Membrane (Macular Pucker)Complete Guide to Symptoms, Causes & Treatment
Expert information about epiretinal membrane (macular pucker) from Orange County's leading eye care specialists. Learn about symptoms, causes, diagnosis, and the latest treatment options.
What is Epiretinal Membrane (Macular Pucker)?
A thin, scar-like tissue that forms over the surface of the macula. As this membrane contracts, it can cause the retina to wrinkle or 'pucker,' leading to distorted and blurred central vision.
At EyeCare Center of Orange County, we specialize in the diagnosis and treatment of epiretinal membrane (macular pucker). Our experienced optometrists use state-of-the-art technology to provide comprehensive care and help preserve your vision.
Common Symptoms of Epiretinal Membrane (Macular Pucker)
If you're experiencing any of these symptoms, schedule a comprehensive eye examination:
Treatment Options for Epiretinal Membrane (Macular Pucker)
We offer comprehensive treatment options tailored to your specific needs:
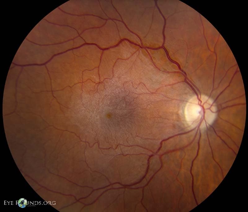
Clinical Images
High-resolution clinical photographs showing various presentations of epiretinal membrane (macular pucker).
Why Choose EyeCare Center of Orange County?
Over 30 Years of Experience
Dr. Alexander Bonakdar has been serving Orange County since 1991 with specialized expertise in retina.
Advanced Diagnostic Technology
We utilize the latest equipment for accurate diagnosis and effective treatment of epiretinal membrane (macular pucker).
Personalized Treatment Plans
Every patient receives customized care based on their unique needs and condition severity.
Comprehensive Eye Care
From diagnosis to treatment and follow-up care, we provide complete support throughout your treatment journey.
Frequently Asked Questions
What causes Epiretinal Membrane (Macular Pucker)?
Epiretinal Membrane (Macular Pucker) can be caused by various factors including genetics, age, environmental conditions, and underlying health issues. A comprehensive eye examination can help determine the specific cause in your case.
How is Epiretinal Membrane (Macular Pucker) diagnosed?
Diagnosis involves a thorough eye examination including vision tests, imaging, and specialized diagnostic procedures. Our advanced equipment allows for early detection and accurate diagnosis.
Is Epiretinal Membrane (Macular Pucker) preventable?
While not all cases are preventable, regular eye exams, protective eyewear, proper nutrition, and managing underlying health conditions can help reduce risk factors. Early detection through routine screenings is crucial.
Does insurance cover Epiretinal Membrane (Macular Pucker) treatment?
Most vision and medical insurance plans cover diagnostic exams and medically necessary treatments. We accept most major insurance plans and can help verify your coverage before treatment.
Schedule Your Consultation
Get expert diagnosis and treatment for epiretinal membrane (macular pucker).
Don't Let Epiretinal Membrane (Macular Pucker) Impact Your Vision
Schedule your comprehensive eye examination today and get expert diagnosis and treatment.